유천신세계정형외과

본문 바로가기
JOIN     LOGIN
고관절 골괴사증

정의

뼈로 가는 혈액 공급의 차단으로 인해 발생하는 통증성 질환을 뜻하며, 혈액 공급 차단으로 골세포 괴사가 일어나기 때문에 결국에는 관절의 파괴로 속발성 관절염으로 진행하는 병입니다. 골괴사증은 무혈성 괴사, 허혈성 괴사 혹은 무균성 괴사로 불리기도 하며, 모든 관절에서 발생할 수 있지만 특히 고관절에서 흔하게 발생합니다. 우리나라 연평균 추정 환자 수는 14,000명에 달하고 유병율은 인구 10만 명당 29명(남자 46명, 여자 12명)이며, 양측 고관절을 침범하는 경우가 많습니다.

원인

고관절 골괴사증은 대퇴골두로의 혈액 공급이 차단되었을 때 발생하게 되며, 대퇴 골두로의 적절한 혈액 공급이 없을 경우, 대퇴 골두의 괴사 및 붕괴가 진행되게 됩니다. 따라서 관절 연골도 일그러지게 되며, 이는 결국 관절염으로 진행합니다.

위험인자

혈류 공급의 부족을 유발하는 정확한 원인을 알 수는 없지만, 병을 유발할 수 있는 몇 가지 위험 요소들은 아래와 같습니다.

- 외상: 고관절 탈구, 고관절부 골절 및 대퇴 골두의 혈액 순환에 영향을 줄 수 있는 각종 손상 알코올 과다복용
- 스테로이드: 천식, 류마티스 관절염, 전신성 홍반성 낭창 등의 질환들은 스테로이드가 치료제로 사용되며, 스테로이드가 골괴사를 유발하는 정확한 기전은 알 수 없으나, 장기간의 스테로이드 사용이 골괴사와 연관이 있습니다.
- 그 밖의 내과적 질환들: 잠수병, 겸상적혈구 빈혈증, 골수 증식성 질환, Gaucher병, 전신성 홍반성 낭창, 크론씨 병, 동맥 색전증, 혈전, 정맥염 등이 골괴사와 연관이 있습니다.

발생빈도

골괴사는 모든 연령에서 발생 가능하나 30~59세 사이에서 가장 많으며 여자에 비해 남자가 발생율이 4배 정도 높습니다. 우리나라 역학연구에 의하면 확진 환자의 평균 연령은 51.8세(남자 52.2세, 여자 54.9세)이고 이 중 남자가 77.7% 였으며 45%의 환자가 주당 소주 2병 이상의 음주 병력이 있고, 22%의 환자가 스테로이드 복용력을 가지고 있었다고 합니다.

증상

골괴사는 단계 별로 진행합니다. 고관절 통증은 전형적인 첫 증상으로, 사타구니와 엉덩이에서의 묵직한 박동성 통증이 발생하며, 질병이 진행하면서, 병변 측 엉덩이로 서 있거나 무게를 지탱하기가 어렵고 고관절을 움직일 때 통증이 발생합니다. 수 개월에서부터 수 년동안 병의 진행 과정은 다양하게 나타납니다. 조기 치료를 시행하는 경우에 경과가 좋으므로, 조기진단이 중요합니다.

진찰

증상 및 병력 청취 후 어떤 동작이 통증을 유발시키는지 검사하게 되며 어떤 일정한 동작에서 통증이 증가할 경우 골괴사를 예상할 수도 있습니다.

방사선 검사

방사선학적 검사는 진단 확진에 도움이 됩니다. 엑스선 검사는 뼈와 같이 단단한 구조물을 보여주며, 대퇴 골두의 붕괴가 있는지 여부와 그 정도의 확인을 위해 촬영합니다.

자기공명영상 검사(MRI) 엑스선 검사에서 보이지 않을 수도 있는 조기 골 변화를 확인할 수 있으며, 증상이 발생하지 않은 조기 골괴사의 진단에 도움이 되기도 합니다.


(왼쪽) 건강한 고관절의 엑스선 영상. (오른쪽) 골괴사의 진행으로 대퇴골두의 붕괴가 진행된 엑스선 영상.

치료

약물 치료 및 목발 사용 등 비수술적 치료가 통증 경감 및 병의 진행을 늦출 수는 있으나, 가장 효과적인 치료 방법은 수술입니다. 아주 초기에 발생한 골괴사 환자에서는 관절 보존 시술이 추천됩니다.

1) 중심부 감압술
대퇴 골두에 드릴을 이용하여 하나의 큰 구멍 또는 여러 개의 작은 구멍을 뜷어 뼈의 압력을 줄이고 새로운 혈관을 생성시켜 고관절에 영양 공급을 시키는 방법입니다. 고관절의 골괴사가 조기에 발견된 경우, 중심부 감압술을 통해서 대퇴 골두의 붕괴 및 관절염 진행을 예방하는 효과를 얻을 수 있습니다.

중심부 감압술은 건강한 고관절 뼈와 연골의 재생을 위해 종종 골이식과 같이 시행하는데, 골이식이란 건강한 골조직을 몸의 다른 부위에 이동시키는 것을 의미합니다. 오늘날에는 많은 골이식 옵션이 사용되며, 표준화된 방법은 자신의 몸의 한 부분에서 뼈조직을 추출한 다음, 몸의 다른 부위로 이동시키는 것으로 이러한 형태를 자가골 이식이라 합니다. 동종골 이식을 할 수도 있는데 골 은행을 통해서 기부자나 사체에서 얻은 뼈를 사용하기도 하고, 오늘날에는 여러 가지 다양한 합성 뼈도 사용되고 있습니다.

2) 혈관 부착 비골 이식술
혈액 공급이 되고 있는 비골의 골 일부를 채취한 후 대퇴 경부 및 골두에 이식하는 방법으로, 골괴사가 발생한 부분에 동맥 및 정맥이 재연결되는 데 도움이 됩니다.

3) 대퇴골 절골술
전자간 회전절골술과 원형 내반절골술이 있으며, 대퇴골두를 전방 또는 후방으로 회전시키거나 내반시켜서 괴사된 부위를 멀리 보내고 건강한 뼈와 연골이 체중을 지탱하는 부하 부위에 오게 하는 방법입니다. 수술 후 하지가 짧아지거나 다리를 절게 되는 경우가 있고 실패할 경우 인공관절 치환술 과정이 어려워질 수도 있습니다.

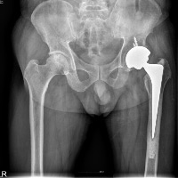
4) 고관절 전치환술
골괴사가 진행되어 골두 붕괴가 진행되었다면 가장 효과적인 치료는 고관절 전치환술이며, 손상 받은 연골 및 뼈를 인공 삽입물로 교체하는 것을 말합니다. 고관절 전치환술은 환자의 90~95%에서 통증 경감 및 기능회복을 가져오며, 가장 효과적인 수술적 치료방법으로 알려져 있습니다.


[고관절 전치환술(왼쪽): 대퇴 골두 및 비구를 인공 장치로 치환한 사진]

치료결과

중심부 감압술은 25~85% 에서 고관절 치환술이 필요한 심각한 관절염으로 진행되는 골괴사를 예방한다고 합니다. 이때, 감압술을 시행할 당시의 골괴사의 단계 및 크기가 중요합니다. 중심부 감압술은 골두 붕괴가 발생하기 이전인 골괴사의 조기에 진단 받았을 경우 가장 좋은 결과를 가져오며, 많은 케이스에서 골 치유 및 혈액 공급을 다시 가능하게 해 줍니다. 골 치유까지 수개월이 소요되며, 그 동안 보행기 또는 목발을 이용하여 손상 받은 뼈에 가해지는 압력을 줄여주는 것이 필요합니다.

중심부 감압술을 성공적으로 시행 받은 환자의 경우, 목발의 도움 없이 보행을 하게 되며 통증이 없어지는 시기는 3개월 정도가 걸립니다. 골붕괴가 발생한 다음 골괴사를 진단받을 경우, 중심부 감압술은 이후의 골붕괴를 예방하는데 있어서 그다지 효과적이지 않으며, 이러한 경우 고관절 전치환술을 시행받는 것이 가장 효과적이며, 90~95% 의 환자가 통증 및 기능의 호전이 있다고 합니다.

카카오채널
  • 고객센터
    042-536-1000
  • 입원상담
    042-537-1000
  • F A X
    042-536-5001

진료시간

  • 평    일 : 09:00 - 19:00※ 점심시간 : 13:00 - 14:00
  • 토요일 : 09:00 - 15:00※ 일요일, 공휴일은 휴진

대전광역시 중구 계백로 1567, 2~4층, 6층(유천동, 강산빌딩)
상호명 : 유천 신세계 정형외과 의원     사업자등록번호 : 144-90-48493     대표자명 : 노승권

COPYRIGHT(C) YUCHEON SHINSEGAE HOSPITAL. ALL RIGHTS RESERVED.
카카오채널