- 회전근개파열
- 상부관절와순파열
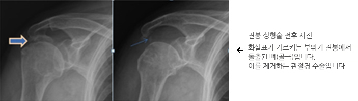
- 충돌증후군
- 동결건(오십견)
- 석회화 건염
- 어깨관절 불안정증
- 어깨 관절염
- 근막통증증후군
- 어깨 관절 탈구
- 허리 디스크(요추 추간판 탈출증)
- 척추관 협착증
- 척추 전방 전위증
- 척추후 관절 증후군
- 골다공증성 척추압박골절
- 경추 디스크(목 디스크)탈출증
- 일자목(거북목)증후군
- 무릎 퇴행성 관절염
- 반월상 연골 파열
- 전후방 십자인대 파열
- 연골 연화증
- 무릎 관절염
- 무릎스포츠손상
- 손목터널 증후군
- 방아쇠 수지
- 척골충돌 증후군
- 손목 건초염(드꿰르벵)
- 테니스.골프엘보
- 주관증후군(팔꿈치 터널)
- 무지외반증
- 족저근막염
- 발목인대파열
- 발목관절염
- 발목관절염좌
- 아킬레스건염
- 발가락지간 신경증
- 만성 발목불안정증
- 대퇴골두 무혈성괴사
- 퇴행성 고관절염
- 고관절 골절
- 대퇴비구 충돌증후군
- 대전자 통증증후군
- 소아척추측만증
- 성장장애
- 골연령검사(성장판)
- 외상
- 청소년 집중력 성장.자세교정치료
- 교통사고, 산재 재활치료
- 수술후 재활치료
- 비수술 통증치료
- 산전.산후 교정치료(허리, 골반)
- 암재활 면역치료
- 통증수액
- 비타민영양수액
- 프리미엄면역영양수액
- 뇌기능개선수액
- 만성피로회복영양수액(고용량비타민)
- 엑스바디
- 신장분사
- CPM
- 엑스레이
- 근골격계SONO검사
- 골다공증(BMD)
- 성장판검사
- 인바디
- 혈액기능검사(간기능)
- 비만 탈모 문진
- 혈액기능검사(대사증후군)
- 개인 맞춤 비만약 처방
- 지방 분해 크림
- 지방 분해 주사
- 항산화 수액
- 트리플바디
- 울핏
회전근개파열
상부관절와순파열
충돌증후군
동결건(오십견)
석회화 건염
어깨관절 불안정증
어깨 관절염
근막통증증후군
어깨 관절 탈구
허리 디스크
(요추 추간판 탈출증)
(요추 추간판 탈출증)
척추관 협착증
척추 전방 전위증
척추후 관절 증후군
골다공증성
척추압박골절
척추압박골절
경추 디스크
(목 디스크)탈출증
(목 디스크)탈출증
일자목(거북목)
증후군
증후군
무릎 퇴행성 관절염
반월상 연골 파열
전후방 십자인대 파열
연골 연화증
무릎 관절염
무릎스포츠손상
손목터널 증후군
방아쇠 수지
척골충돌 증후군
손목 건초염
(드꿰르벵)
(드꿰르벵)
테니스.골프엘보
주관증후군
(팔꿈치 터널)
(팔꿈치 터널)
무지외반증
족저근막염
발목인대파열
발목관절염
발목관절염좌
아킬레스건염
발가락지간 신경증
만성 발목불안정증
대퇴골두 무혈성괴사
퇴행성 고관절염
고관절 골절
대퇴비구 충돌증후군
대전자 통증증후군
소아척추측만증
성장장애
골연령검사(성장판)
외상
청소년 집중력
성장.자세교정치료
성장.자세교정치료
교통사고,
산재 재활치료
산재 재활치료
수술후 재활치료
비수술 통증치료
산전.산후 교정치료(허리, 골반)
암재활 면역치료
통증수액
비타민영양수액
프리미엄면역
영양수액
영양수액
뇌기능개선수액
만성피로회복영양
(고용량비타민)
(고용량비타민)
엑스바디
신장분사
CPM
엑스레이
근골격계SONO검사
골다공증(BMD)
성장판검사
인바디
혈액기능검사
(간기능)
(간기능)
비만 탈모 문진
혈액기능검사
(대사증후군)
(대사증후군)
개인 맞춤
비만약 처방
비만약 처방
지방 분해 크림
지방 분해 주사
항산화 수액
트리플바디
울핏
병원안내
병원장인사말
의료진소개
병원미리보기
의료장비안내
진료시간안내
입퇴원안내
증명서발급안내
오시는길
언론기사
의학 언론보도
포토갤러리
감동치료후기
자필후기
정보마당
병원소식
환자의 권리와 의무



































